Resultados
Desliza para ver nuestra galeria de casos reales
Diseño en porcelana imax
combinando coronas y carillas , morfología y traslúcidas de alto impacto estético
Diseño en porcelana imax
con reconstrucción posterior a endodoncias y postes en Zirconia
Cambio de diseño de resina por porcelana imax
en un tono más plano sin efectos traslúcidos
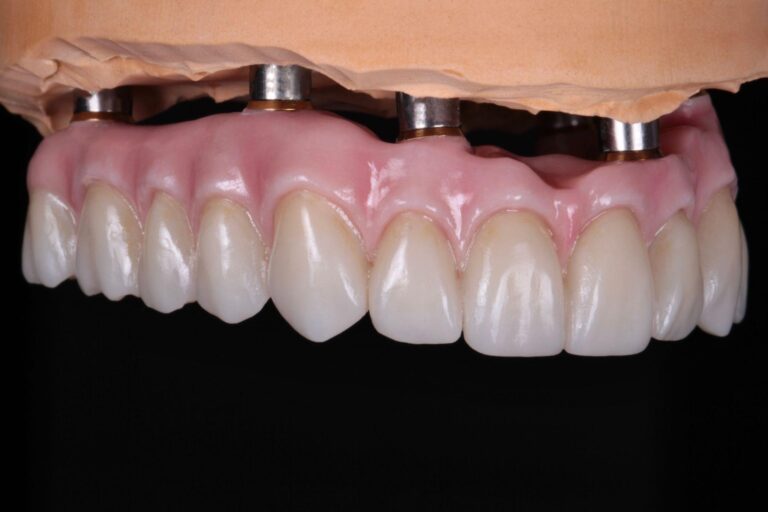
Diseño en porcelana imax
en un color más natural con efectos traslúcidos y alta morfología estética
Diseño en porcelana imax
con un color más claro, cierre de espacios y mejorando la línea de sonrisa
Testimonios
Haz clic y conoce casos reales de nuestros pacientes
Valoración virtual
Paso 1
Tómate una foto frontal mostrando tus dientes superiores e inferiores para evaluar tu mordida con nuestro equipo. Procura morder con las muelas.
Paso 2
Tómate una foto con la boca abierta mostrando tus dientes para evaluar la línea de la sonrisa con nuestro equipo especializado.
Paso 3
Tómate una foto de perfil izquierdo mostrando tus dientes para evaluar el ángulo y la oclusión con nuestro equipo de especialistas.
Paso 4
Tómate una foto de perfil derecho mostrando tus dientes para evaluar el ángulo y la oclusión con nuestro equipo especializado.
Consejos para una sonrisa perfecta
Tienes una consulta escríbenos
+57 317 6418508
Carrera 84 a # 17-57 El ingenio 3





