implantes

Cinco datos clave que debes saber sobre los implantes dentales

Los implantes dentales son actualmente la solución más avanzada para reemplazar dientes perdidos. Sin embargo, existen muchos mitos y desinformación alrededor de este tratamiento.

Estos son los cinco aspectos esenciales que debes conocer.

1. El implante reemplaza la raíz del diente

A diferencia de otras soluciones, el implante se integra al hueso maxilar, actuando como una raíz artificial sobre la cual se coloca la corona.

Esto le da estabilidad, resistencia y una apariencia completamente natural.

2. La cantidad y calidad del hueso son fundamentales

Para colocar un implante, el paciente debe tener suficiente volumen óseo. En caso contrario, se pueden realizar procedimientos como injertos para preparar la zona.

Un buen diagnóstico es clave para determinar la viabilidad.

3. Es un tratamiento en varias fases

El proceso incluye:

  • Evaluación y planificación
  • Cirugía de colocación del implante
  • Periodo de osteointegración (3 a 6 meses)
  • Colocación de la corona definitiva

Este tiempo es necesario para garantizar estabilidad y durabilidad.

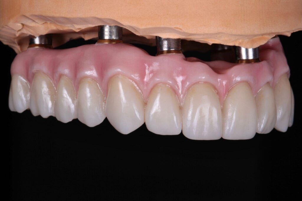
4. Ofrecen una solución fija y funcional

A diferencia de prótesis removibles, los implantes permiten comer, hablar y sonreír con total normalidad.

No se mueven, no generan incomodidad y se sienten como dientes naturales.

5. Su durabilidad depende del cuidado

Con una buena higiene oral y controles periódicos, los implantes pueden durar décadas.

El éxito no depende solo del procedimiento, sino del mantenimiento posterior.

Conclusión

Los implantes dentales representan una solución segura, estética y funcional para recuperar tu sonrisa.

Pero como cualquier tratamiento avanzado, requiere diagnóstico adecuado, planificación y seguimiento profesional.

Deja un comentario

Tu dirección de correo electrónico no será publicada. Los campos obligatorios están marcados con *